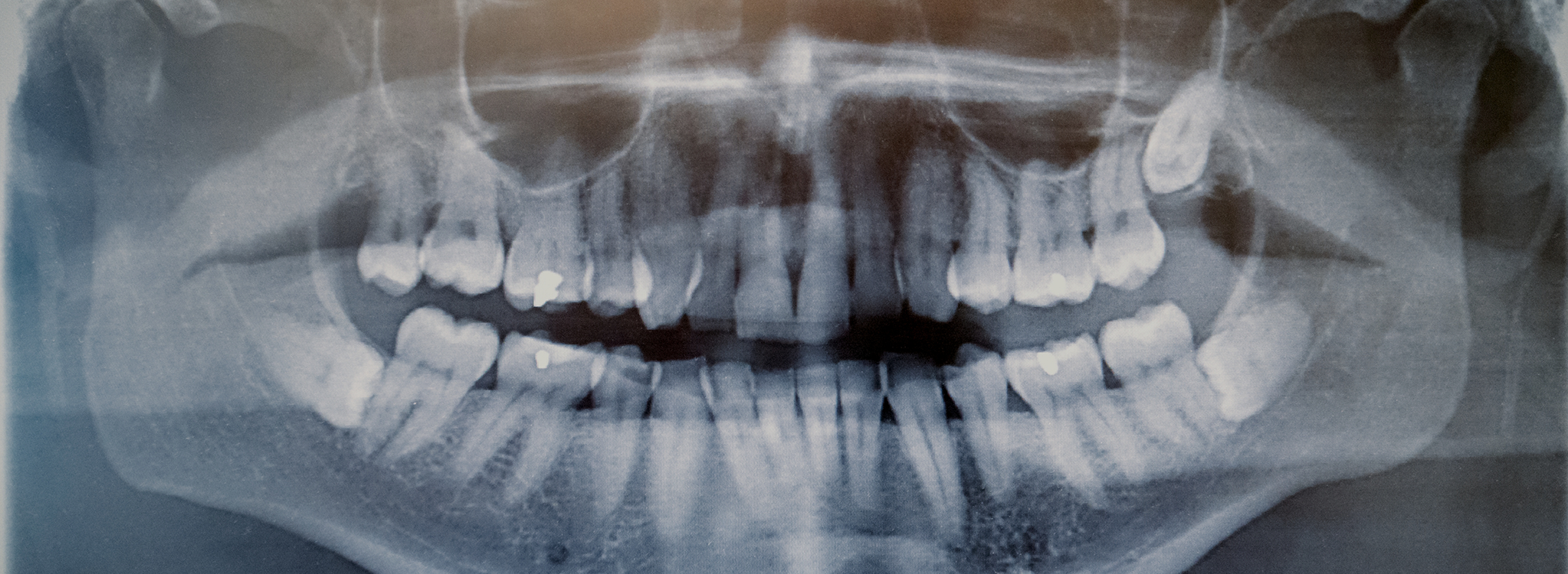
No artificial tooth replacement works the same way as natural teeth. This is why your dentist will always try to save your smile with restorative treatment. However, when a tooth is badly damaged or decayed, fillings, crowns, and root canal therapy may not be successful. Instead of risking your oral health, Dr. Ricci can prevent potential pain with tooth extraction. Learn how this process works and what signs may indicate you need a tooth removed.

If your dentist recommends a tooth extraction, it is likely because:

When having a tooth extracted, you can trust that you will remain safe and comfortable while under Dr. Ricci’s care. Using local anesthesia and conscious sedation (nitrous oxide or IV sedation), we will ensure you feel no pain throughout the process. The method of tooth removal is based on Dr. Ricci’s evaluation of the affected area. No matter how extensive the procedure might be, you should not expect to feel discomfort and anxiety.
Dental Implants Wisdom Tooth Extractions IV Sedation Infection Control & Sterilization View Our Services